インプラント治療について

インプラントとは歯を失った部分の骨に人工歯根を入れ、
見た目と噛むという機能を回復させる治療のことを言います。
入れ歯は自分の歯よりも噛みにくかったり、異物感が大きく慣れない方も多いですが、
インプラントを入れることで自分の歯のように食事ができ
入れ歯のような異物感もありません。

現在は術前のCT撮影や正確に手術を行う器具があります。
診断を正しくおこなえば安心して治療を受けられます。
一度相談を希望される方は、お気軽にお声掛けください。

症例1

術前
まず、インプラント手術ができるか診断するため、口腔内の状態・レントゲン撮影を行います。
診断の結果、インプラントを入れるには骨の量も少なく、歯肉の量も少ないことがわかりました。このままインプラントを入れても長持ちできないと判断し、骨を増やす処置(骨造成術)と歯肉を増やす処置(遊離歯肉移植術)もおこなうこととしました。
骨造成
インプラント手術を行いました。同時に骨造成術もおこなっています。
術前のCT撮影でシミュレーションをおこない、手術後にもCT画像で安全にインプラントが入っているか確認します。黄色い矢印のところが骨造成部位になります。
遊離歯肉移植
インプラント手術後少し治癒を待ってから、今度は遊離歯肉移植術を行いました。
術後2か月の写真。歯肉からインプラントの頭部分が見えています。
その周囲には薄いピンク色をした歯肉が囲んでいます。
ここまで歯肉に囲まれていると清掃性が向上します。
最終
インプラントの被せ物を入れて治療は終了しました。
その後はメンテナンスに移行します。
嚙み合わせ

治療内容:インプラント治療(骨造成術・遊離歯肉移植術含む)

治療期間:8か月

治療費用:47万円

 

≪リスク・副作用≫

・インプラント手術後は疼痛・腫脹・内出血が起こる可能性があります。

・インプラントが骨と結合しない場合があります。

・下の顎を走行している神経を損傷し、麻痺を起こす可能性があります。

 

当院は手術を安全におこなうため、術前のCT撮影やインプラントを正確な位置に入れる装置を

使用しています。万が一、術後の治癒が不完全な場合は追加治療をおこなう可能性があります。

症例2

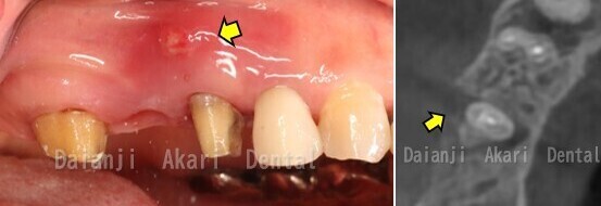
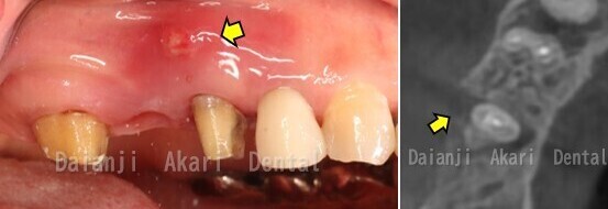
インプラント before_コピー
右上の奥歯が腫れていた患者様です。
初診時(上図)歯肉は腫れており、膿が出ていました(矢印)。
CT画像から歯の周囲の骨が溶けていることがわかりました(矢印)。

歯根破折のため、腫れている歯を抜歯し、骨造成を行いました。
骨や歯肉の治癒を待ってから2本インプラント治療を行いました(下図)。
インプラント After_コピー

治療内容:インプラント治療(骨造成術含む)

治療期間:8か月

治療費用:83.6万円(2本分)

 

≪リスク・副作用≫

・インプラント手術後は疼痛・腫脹・内出血が起こる可能性があります。

・インプラントが骨と結合しない場合があります。

・下の顎を走行している神経を損傷し、麻痺を起こす可能性があります。

 

当院は手術を安全におこなうため、術前のCT撮影やインプラントを正確な位置に入れる装置を

使用しています。万が一、術後の治癒が不完全な場合は追加治療をおこなう可能性があります。

大安寺あかり歯科クリニック
診療時間
09:30~13:00 ⚪︎ ⚪︎ ⚪︎ - ⚪︎ ⚪︎ -
14:00~18:30 ⚪︎ ⚪︎ ⚪︎ - ⚪︎ -
  • 休診は木曜、日曜、祝日
    △…土曜午後/13:30~16:00
  • 0742-61-1000

モバイルサイト

大安寺あかり歯科クリニックスマホサイトQRコード

スマートフォンからのアクセスはこちら